Stroke
What is a stroke?
Stroke is loss of function of an area of brain due to diseases of blood vessels, these are like pipes that carry blood between heart and other organs, in this case, brain. Some vessels carry blood from heart to the different parts of body, while others carry it from the different parts of body to the heart. Vessels that carry blood away from heart are called ‘arteries’, while those that carry blood towards heart (from different parts of body) are called ‘veins’. As you know from your experience, pipes sometimes get blocked, and sometimes they leak. Similarly, blood vessels also may sometimes leak, and sometimes get blocked. Accordingly, there are different types of stroke:
- Due to blockage of the vessels, (let us call this ‘blockage type’) – medically called ‘Ischaemic type’.
- Due to leakage of blood from the blood vessels (let us call this ‘leakage type’) medically called ‘haemorrhagic type’, also called ‘brain haemorrhage’.
- Intracerebral Hemorrhage occurs when an artery in the brain leaks, flooding the surrounding tissue with blood.
- Subarachnoid Hemorrhage is bleeding in the area between the brain and its covering consisting of layers of tissue.
- Mixed type: when blocked blood vessels leak as well. This usually happens in stroke involving veins (called venous stroke).
Common layman names for stroke are:-
- Adhrang
- Pakshaghat
- Lakwa
- Paralysis
What is a “mini-stroke”?
A “mini-stroke”, also called a transient ischemic attack or (TIA), happens when, for a short time, less blood than normal gets to the brain. A “mini-stroke” lasts from a few minutes up to a day.
What does a stroke do?
Stroke hit peoples out of blue. In case of ischaemic (blockage) type stroke, it often becomes apparent on waking up from sleep. At other times, the victim suddenly becomes unable to move his/her limb, or hold things in hands and speak. Many a times, stroke comes silently but suddenly while working, during the day with any of the above symptoms. This form of stroke is without headache and vomiting or loss of consciousness. In another form of stroke, haemorrhagic (leakage) type stroke, the person gets severe headache and vomiting followed by weakness of limbs of one side with and without difficulty in speaking. Many a times, the person rapidly progresses into unconsciousness.
What happens during a stroke?
An example of blockage type stroke is explained
A blockage type stroke is best understood as having some features of each of earthquake, flood, fire, and famine. Like earthquake, there is maximum effect (damage) near the centre of the affected area, with diminishing effect toward the periphery. Some experts have likened this to what happens in eclipse (solar or lunar): central area of maximum darkness (called ‘umbra’ zone) and peripheral area of less dark zone (called ‘penumbra’ zone). The penumbra zone has some cells that are senseless, some that are only crying due to starvation, some are burning and of course, some that are dead. It is here that there is scope for timely intervention and salvaging (rescuing) cells that are crying, sleeping or senseless, but not dead.
To summarize, the death of or damage to brain cells in stroke results from a combination of factors: flooding with injurious chemicals, starvation deaths, suicidal deaths, burning like activity (called ‘inflammation’ in technical language), and activity of reactive groups of chemicals. These factors also tend to reinforce each other or one may lead to another.
What are the signs & symptoms of a stroke?
Stroke can affect any movement, senses, speech, behavior, thoughts, memory, and emotions. The body may become paralyzed or weak.
The five most common signs & symptoms of stroke are:
How is stroke diagnosed?
Stroke is primarily a clinical diagnosis, supported by brain imaging
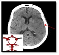
CT scans and MRI
Two common methods used for brain imaging are a computer tomography (CT) scan and magnetic resonance imaging (MRI) scan.
A CT scan is like an X-ray, but uses multiple images to build up a more detailed, three-dimensional (3D) picture of the brain.
An MRI scan uses a strong magnetic field and radio waves to produce a detailed picture of the inside of the body.
Computed tomography (CT) scan
Swallowing test
A swallow test is essential for a person who has had a stroke. When a person cannot swallow properly, there is a risk that food and drink may get into the windpipe and then into the lungs (called aspiration), which can lead to chest infections and pneumonia.
Certain other tests carried out generally to diagnose stroke are as follows:
Ultrasound (carotid ultrasonography)
An ultrasound scan uses high frequency sound waves to produce an image of the inside of the body. Doctor may use a wand-like probe (transducer) to send high-frequency sound waves into neck. These pass through the tissue, creating images on a screen that will show if there is any narrowing or clotting in the arteries leading to brain.
This type of ultrasound scan is sometimes also known as a "Doppler Scan" or a "Duplex Scan".
Brain Angiography
This is done to take images of the blood vessels of the brain. This can be done using CT (CT angiography), MRA (MR angiography) or injecting dye called catheter angiography.This gives a more detailed view of arteries than can be obtained using ultrasound, CT angiography or MR angiography.
Echocardiogram
In some cases an echocardiogram may be used to produce images of the heart using an ultrasound probe placed on the chest (transthoracic echocardiogram). In addition, transoesophageal echocardiography (TOE) may also be used. This involves an ultrasonic probe which is passed down the food pipe (esophagus), usually under sedation. Because it's directly behind the heart, it produces a clear image of blood clots and other abnormalities that may not get picked up by the transthoracic echocardiogram.
What are the effects of stroke?
It depends on the type of stroke, the area of the brain where the stroke occurs, and the extent of brain injury. A mild stroke can cause little or no brain damage. A major stroke can cause severe brain damage and even death.
Who is likely to have a stroke?
Non-modifiable risk factors
- A person of any age canhave a stroke. Some people are born, for example, with a weakness, an “aneurysm” in a brain artery that can leak, causing haemorrhage. This type of stroke can happen to young adult so it is not just disease of older ages. But, stroke risk does increase with age.
- For every 10 years after the age of 55, the risk of stroke doubles, and two-thirds of all strokes occur in people over 65 years old.
- Stroke also seems to run in some families. Stroke risk doubles for a woman if someone in her immediate family (mother, father, sister, or brother) has had a stroke.
Modifiable risk factors
- Those who have:
- Uncontrolled high blood pressure
- Uncontrolled blood sugar
- Uncontrolled blood fat (cholesterol) level
- Smoke cigarettes
- Are overweight
- Take too little exercise
- Have any heart disease
- Birth control pills can raise the risk of stroke for some women, especially women over 35. Hormonal changes with pregnancy, childbirth, and menopause are also linked to an increased risk of stroke
Can I lower my own chances of stroke?
Stroke is a condition for which the statement ‘Prevention is better than cure’ holds perfectly. It is said that attending to ‘four and four’ is key to the prevention of stroke.
Four lifestyle factors which help in prevention are avoiding tobacco use (smoking or chewing),alcohol excess, balanced diet (low salt, high vegetable and fruit content) and adequate physical activity (minimum 30 minutes brisk walking for five days in a week).
Warning: Start your exercise slowly and build it up gradually.
- Don’t exercise-
- If your blood pressure is 200 mmHg systolic (upper one) or 110 mmHg diastolic (lower one) or more: first control your blood pressure.
- If your blood glucose is high (more than 250 mg%): first control your blood sugar.
- If you have problem with balance, vision etc.
Four medical conditions to keep under control are high blood pressure, high blood sugar, high body fat (cholesterol or weight control) and heart diseases.
The risk of stroke rises from age 40 years onwards, but the underlying causes are often laid down. Often, this is due to a sac like bulge from a blood vessel (called an aneurysm), which has a tendency of life-threatening re-bleeding, which requires surgery or angiography with coiling to prevent re-bleeding.
How is stroke treated?
STROKE MANAGEMENT
After a stroke all patients need good supportive care in a stroke unit, looked after by physicians, nurses, physiotherapists, occupational therapists, speech therapistswith help from Radiologists, Neurosurgeons and others.
Ischemic stroke
Blockage of a blood vessel, the root cause of ischemic stroke, can be cleared by injection of ‘clot-busters’ like t-PA (tissue plasminogen activator) into the patient’s forearm veins, but this is successful only in one third of patients who receive this injection within three hours of start of stroke. ‘Blood thinner’ (like aspirin) and treatment in stroke unit can be used in most patients. Some patients develop life-threatening swelling of the brain, and require surgery (called hemicraniectomy) to save their lives. In well equippedcentres, clots can be mechanically removed with a device from inside of the arteries after angiography. Besides these, risk factors, fever, high blood pressure and high pressure within the head need to be brought under control.
Brain Hemorrhage
Intracerebral hemorrhage
Leakage of the vessels stops soon on its own because blood clot seals the puncture site, but in one-third patients some leakage continues for 24 hours. Control of blood pressure is important to prevent continued leakage. Many patients require surgery for removal of the large blood clot causing life-threatening increase in pressure inside the skull. Rest of the treatment is similar to that of ischemic stroke.
Subarachanoid hemorrhage
Often, this is due to a sac like bulge from a blood vessel (called an aneurysm), which has a tendency of life-threatening re-bleeding, which requires surgery or angiography with coiling to prevent re-bleeding.
- Patient should be closely monitored for signs of increased pressure on the brain, such as restlessness, confusion, difficulty in following commands, and headache. Other measures should be taken to keep the patient away from straining due to excessive coughing, vomiting, lifting and passing stool.
- In some cases, medicines may be given to control blood pressure, brain swelling, blood sugar levels, fever and seizures.
- Surgery, if needed, may include surgical removal of blood clot, also aneurysm clipping, coil embolization and arteriovenous malformation (AVM) repair.
Common misconceptions?
- Stroke is caused by “witchcraft”
No. Stroke is usually caused by either leakage or blockage of a blood vessel in the brain just as heart attack is caused by a blockage of blood vessel going to the heart.
- Stroke is always fatal
No, almost 40% of persons getting stroke can recover and rejoin their previous work.


